Porcelain Veneers
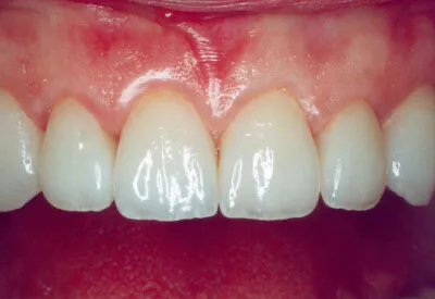
Porcelain veneers offer the ultimate in esthetics. A veneer is a thin facing or covering that bonds to the natural tooth structure. They're a more conservative alternative to crowns (caps) that can give you the smile you have always dreamed of and deserve.
Porcelain veneers are top-of-the-line in cosmetic dentistry. If your teeth are chipped, broken, or discolored, porcelain veneers are a great way to change the color and shape of your teeth. Veneers can be a great alternative to braces for slight orthodontic problems and provide a beautiful smile in a short amount of time. The results are simply gorgeous!
SOMERSET SMILES
650 Easton Ave. • Somerset, New
Jersey 08873
Monday: 9am - 6pm
Tuesday: 9am - 6pm
Wednesday: Closed
Thursday: 12pm - 8pm
Friday: 9am - 4pm
Saturday: 9am - 12pm
Sunday: By Appointment Only
SOMERSET SMILES
650 Easton Ave. • Somerset, New Jersey 08873
(732) 374-3852Monday: 9am - 6pm
Tuesday: 9am - 6pm
Wednesday: Closed
Thursday: 12pm - 8pm
Friday: 9am - 4pm
Saturday: 9am - 12pm
Sunday: By Appointment Only